[Skip to Content]
 

Archive

cosmetic dentistry
Feb 26 2018

Metal to Composite Filling

Improving Aesthetics Conscious of their tooth appearing dark when they laughed, this patient wanted a more natural looking restoration. Dr. Shan Lam carefully removed the metal filling and replaced it with a composite resin material tough enough for the job....

0 Comments
Share Post
Feb 02 2018

Teeth Whitening Case Study

In Surgery Laser Teeth Whitening  A whiter, brighter smile is something that lots of our patients request. This patient lightened their teeth an incredible 11 shades in just one visit, with Philips Zoom Teeth Whitening....

0 Comments
Share Post
broken tooth
Dec 12 2017

Composite Bondings Case Study

Fractured Enamel Accidents happen; but living with broken teeth can drastically affect your confidence. This patient presented with fractured front teeth and wanted to be able to smile confidently again. Dr. Shan Lam expertly repaired the teeth using modern composite filling materials....

0 Comments
Share Post
invisalign before
Dec 04 2017

Fixed Orthodontics & Enamel Contouring

Diastema, Missing teeth & Underbite  Fixed orthodontics is able to correct the most complex of malalignments. Presented with a multitude of issues that affected this patient’s confidence, treatment included closing the midline diastema (space), improving the alignment and correcting the upper teeth from biting on the inside of the lowers to the outside. In addition to enamel contouring to give the appearance of the correct tooth sequence....

0 Comments
Share Post
Dec 04 2017

Fixed Orthodontics

Severe Overbite  Fixed orthodontics can also fix problems of over closure. This patient’s overbite was causing them to bite into their palate, causing soft tissue damage which if left untreated could have put their anterior teeth at risk of severe gum problems and eventual loss. Their bite was opened and their misalignment fully corrected, resulting in a healthy straight smile....

0 Comments
Share Post
Dec 04 2017

Fixed Orthodontics Case Study 2

Severe crowding & Outstanding canine  In extreme cases, the crowding is severe enough for a tooth to stand completely outside of the natural arch, making keeping good oral hygiene much harder.  With space gained from removing teeth, the alignment was fully corrected and the canine was able to move back in the arch, thereby reducing the risk of wear and improving both health and aesthetics....

0 Comments
Share Post
Dec 04 2017

Fixed Orthodontics Case Study 1

Severe Crowding & High Canines With severe crowding, space is gained by removing a tooth and closing the space.  The alignment in both the top and bottom arches was corrected using a fixed orthodontic appliance, improving the aesthetics, health and function of their smile....

0 Comments
Share Post
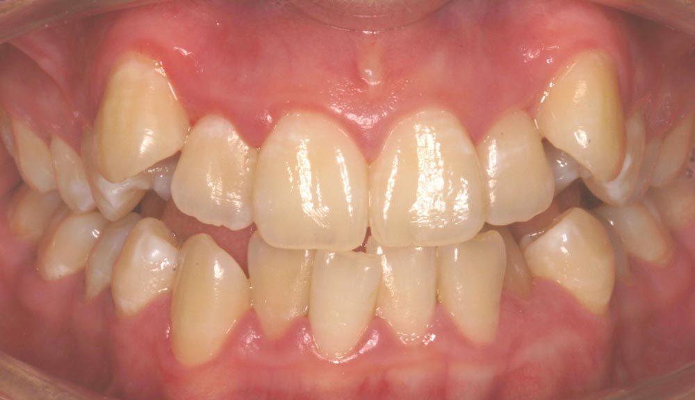
Dec 04 2017

Children’s Orthodontics Case Study

Severe crowding  A very common problem in children is severe crowding. Sometimes this can result in high canines, which means they can look like they are missing. Fixed orthodontic appliances can relieve crowding and gently pull the teeth into the smile line to give a wide aesthetic smile....

0 Comments
Share Post
Dec 04 2017

Fixed Orthodontics & Dental Hygiene Therapy

Anterior open bite, Narrow upper arch & Crowding  This patient’s upper and lower arches were misaligned, resulting in retroclined and crowded teeth. This led to set back teeth, which gather stain more easily.  Fixed orthodontic appliances and dental hygiene therapy gave this patient a broader, well-aligned & brighter smile....

0 Comments
Share Post
Lip Filler
Nov 13 2017

Lip Volume Case Study

Dermal Fillers Volume restored to the body of the upper lip to give a natural, balanced enhancement which compliments a beautiful smile....

0 Comments
Share Post

What’s your smile solution?